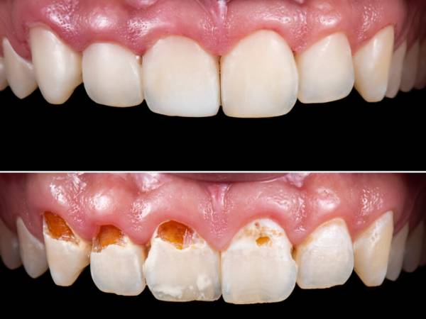
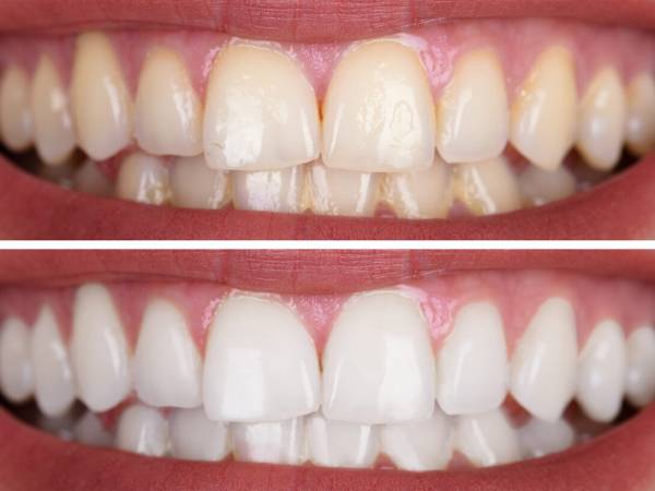
Before and After Dental Treatment Results at Aire Dental Group in Downers Grove, IL
Aire Dental Group showcases the life-changing results of our treatments. View our gallery to see how we’ve helped patients achieve beautiful, healthy smiles through cosmetic and restorative procedures, proving our commitment to exceptional dental care and stunning results. For more information, contact us or request an appointment online. We are conveniently located at 6224 Main St suite c, Downers Grove, IL 60516.
COMPOSITE RESTORATION

BLEACHING/WHITENING







